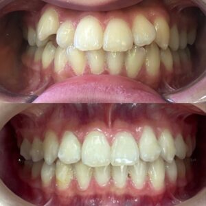
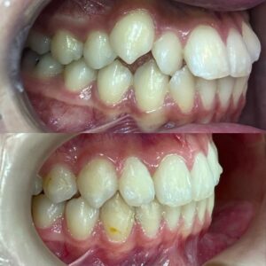
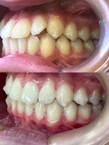
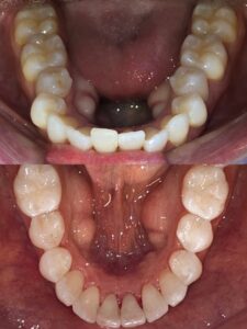
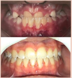
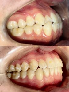
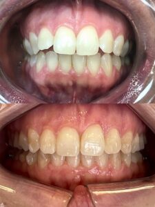
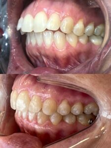
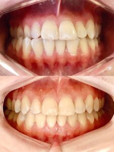
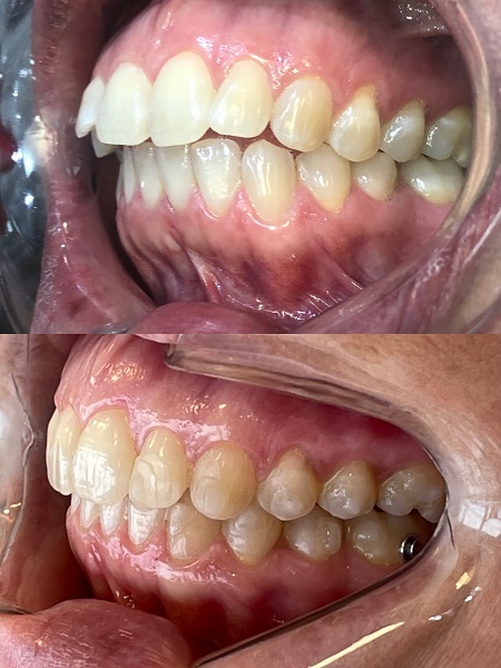
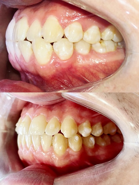
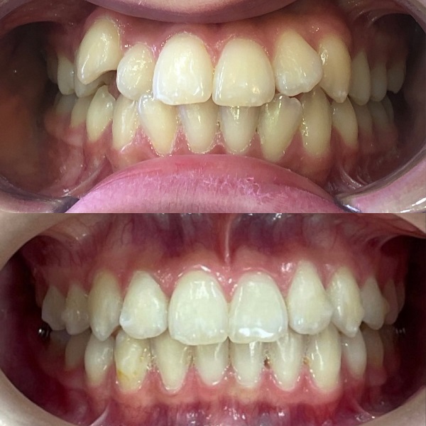
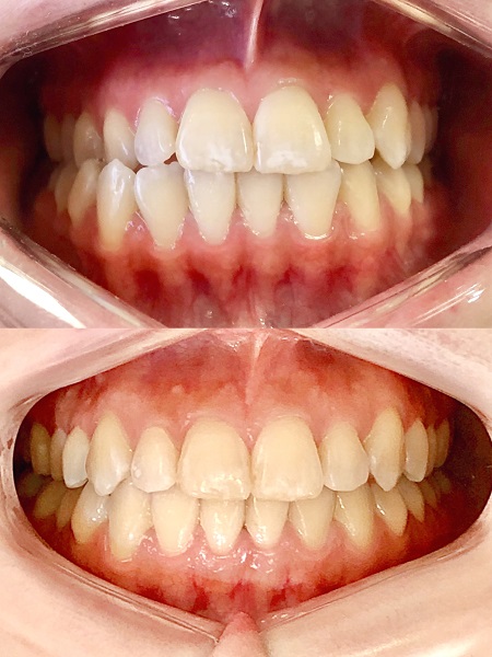
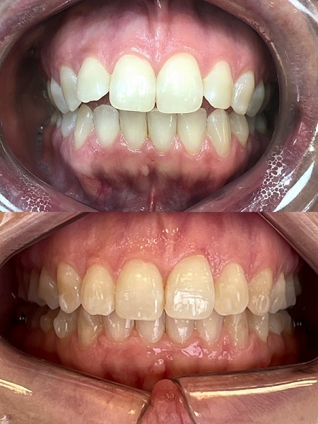
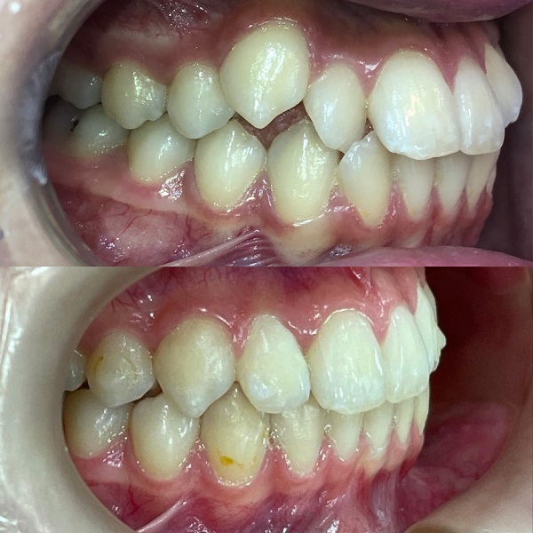
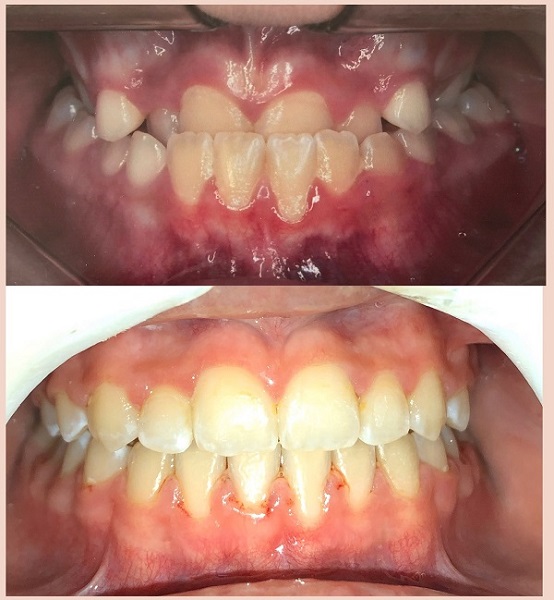
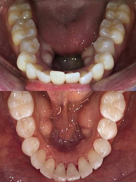
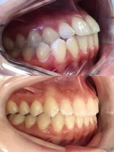
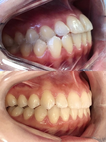
Por que escolher o Invisalign®?
Invisalign® é marca líder do mercado para quem precisa alinhar os dentes e não quer usar aparelhos com braquetes. Ele é totalmente invisível e funciona nos casos mais simples aos mais complexos.
Tenha uma vida normal com os alinhadores invisíveis Invisalign ®.
Só Invisalign® é totalmente personalizado e alinha seus dentes de forma eficaz, rápida e imperceptível.
Assista o player para me conhecer e saiber mais sobre como Invisalign® pode transformar seu sorriso.










